審美治療

歯の詰め物・被せ物について(審美治療)

インレーやクラウンってなに??

インレーやクラウンってなに??

インレーは比較的小さな虫歯(噛み合わせ面やコンタクト面に虫歯がある場合)に用いる修復法です。
クラウンは虫歯が大きく、歯の神経をとって土台を立てなけければいけない場合や歯の神経は残せそうだが虫歯が大きい場合に全体的に被せる修復法です。

健康保険治療で用いられる金属製の詰め物や被せ物について

患者さんはよく銀歯とおっしゃいますが、保険診療では金銀パラジウム合金という貴金属系合金が多く使用されています。金銀パラジウム合金は金・銀・パラジウム・銅・インジウムなどから作られています。以下に利点と欠点を示します。

利点:安価である(健康保険内での治療が受けれる)
欠点:金属アレルギー・2次カリエス

歯科用金属アレルギー

歯科用金属アレルギーとは、唾液に溶けてイオン化した金属が、体内に取り込まれた後でタンパク質と結合することにより、アレルゲン(異物)とみなされて起こるアレルギー反応のことです。
銅・パラジウムのほか、まれに金や銀に対してアレルギー反応を起こした経験がある方は歯科医師までお知らせください。

2次カリエス

2次カリエスとは、虫歯治療を行った歯で2次的に起こる虫歯のことで、金属の詰め物や被せ物にした場合、2次カリエスが起こりやすくなります。
主な原因として銀歯の劣化が考えられます。金属が酸化することによって、徐々に歯と銀歯(詰め物や被せ物)の間にすき間ができて、虫歯を発症しやすい状態になる恐れがあります。

インレーやクラウンってなに??

銀歯以外の詰め物や被せ物には何があるの??

セラミック

セラミックとは、ポーセレンと呼ばれる歯科用陶材のことで、金属の土台に焼き付けるメタルボンドのほか、金属を一切使わないオールセラミックやラミネートベニアなどに用いられます。

ジルコニア

人工ダイヤとして知られるジルコニアは、生体親和性に優れているのが特徴で、強度が非常に高いため、噛む際に力がかかる奥歯やオールセラミックのフレームなどに使われます。

ガラスセラミック

ガラスセラミックは、e-max(イーマックス)と呼ばれる素材です。高強度にもかかわらず摩耗性が高いことから、対合歯にも優しいと言われています。

銀歯以外の詰め物や被せ物

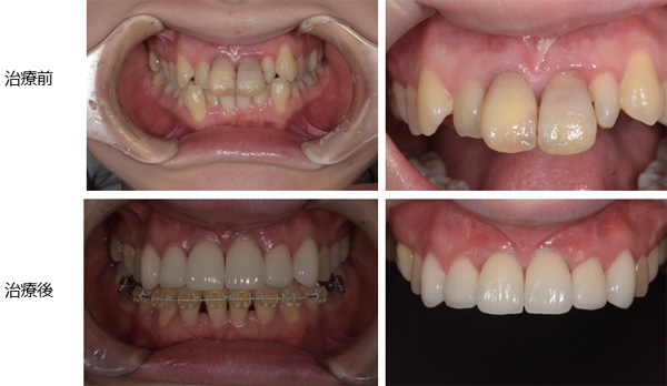
審美障害を主訴に来院された患者さんで、ジルコニアセラミックを用いて見た目を改善した症例です。
上顎前歯6歯にて審美的回復を達成できました。尚、下顎は矯正治療を施しております。

ジルコニアセラミックを用いて見た目を改善した症例

コンポジットレジン充填

コンポジットレジン充填とは

  • 虫歯を削ったあとに白いプラスチックを詰める方法です。
    一般的に小さい虫歯に適応です。

コンポジットレジン充填の治療期間

  • 通院1~2回。

コンポジットレジン充填のメリット

  • 色が歯の色と似ているので、見た目が良い。
  • 悪い所だけ削るので、他の治療法に比べて余計に歯を削らない。
  • 保険適応なので料金が安い。
  • 金属を使わないので、金属の溶解による歯や歯茎の変色や金属アレルギーが起こる可能性がない。
  • 治療期間が短い(多くの場合1日)。

コンポジットレジン充填のデメリット

  • 時間がたつと変色し、見た目が悪くなる(詰め直しは可能)。
  • 金属に比べて強度は弱いので、大きな虫歯にするや噛み合わせの強い人に行うと欠けてしまうことがある。
  • 歯科医の技術によって見た目や予後が大きく左右される。

メタルボンド

メタルボンド(陶材焼付鋳造冠)とは

  • メタルボンドは中身が金属で、外に見える部分にセラミック(陶器)を貼り付けたクラウン(被せ物)です。
  • 見た目が良く変色せず、強度も強いので非常によく使われます。

メタルボンドの治療期間

  • 通常3回(形成→型取り→装着)
  • おおよそ1カ月(症状によって変動あり)

メタルボンドのメリット

  • 陶器でできているので、変色せず見た目がよい。
  • 中身が金属なので割れにくく、ほとんどの部位に使用できる。

メタルボンドのデメリット

  • 保険適用外なので、値段が高い。
  • 色調はオールセラミックスに劣る。
  • 中身の金属の種類(銀やニッケルクロムなどの卑金属の含有量が高い場合)によっては金属が溶けて歯茎が変色したり、金属アレルギーを起こす可能性がある。
  • 将来的に歯茎が下がって、歯と歯茎の境目の金属が見えてくることがある。

ジルコニアクラウン

ジルコニアクラウンとは

  • ジルコニアクラウンはメタルボンドの内面の金属の代わりにジルコニアを使用したクラウン(被せ物)です。金属を使用しないのでメタルボンドより綺麗ですがオールセラミックスには劣ります。ただ、土台の金属(コア)の色を防ぐ「マスキング効果」がすぐれているため、ケースによってはオールセラミックスよりも審美的に仕上げることができます。強度的にもジルコニアは「白いメタル」と呼ばれる程強いので、奥歯やブリッジにも使用できます。

ジルコニアクラウンの治療期間

  • 通常3回(形成→型取り→装着)
    *ただし、ジルコニアクラウン装着後に割れることを避けるために、仮歯で数ヶ月様子を見ることがあります。
  • おおよそ1カ月(症状によって変動あり)

ジルコニアクラウンのメリット

  • 表面は陶器でできているので、変色せず見た目がよい。
  • 中身はジルコニアなので割れにくく、ほとんどの部位に使用できる。
  • 金属を使用しないので、金属の溶け出しによる歯や歯茎の変色、金属アレルギーの可能性がない。
  • マスキング効果にすぐれているため、土台が金属でも透けて見えない。

ジルコニアクラウンのデメリット

  • 色調はオールセラミッククラウンに劣る。
  • 天然の歯より硬いので、噛み合う歯を痛めてしまうことがある。
  • 保険適用外なので、値段が高い。

オールセラミッククラウン

オールセラミッククラウンとは

  • オールセラミックスクラウンとは、冠全体がセラミック(陶器)でできている被せ物(さし歯)です。見た目は被せ物の中で最もきれいですが、金属に比べて割れやすいです。

オールセラミッククラウンの料金

  • 12万円

オールセラミックスの治療期間

  • 通常3回(形成→型取り→装着)
    *ただしオールセラミックス装着後、ジルコニアを覆っているセラミック(陶器)の部分が割れることを避けるために、仮歯で数ヶ月様子を見ることがあります。
  • おおよそ1カ月(症状によって変動あり)

オールセラミッククラウンのメリット

  • 被せ物の中で見た目が最も綺麗で、変色もない。
  • 金属を使用しないので、金属の溶け出しによる歯や歯茎の変色、金属アレルギーの可能性がない。

オールセラミッククラウンのデメリット

  • 金属を使用した物より割れやすい。
  • 保険適用外なので、値段が高い。
  • 天然の歯より硬いので、噛み合う歯を痛めてしまうことがある。
  • 透明感があるので、金属の土台が入っている場合は使えないことがある。

ラミネートベニア

ラミネートベニアとは

  • ラミネートベニアとは、歯の表面を少し削って、そこに薄いセラミックのシェル(付けツメのようなもの)を貼り付ける治療法です(付けツメと違い1度つけたら外せません)。これにより、歯を希望の白さにしたり、大きさや形を調整することでちょっとした歯並びを改善することができます。

ラミネートベニアの治療期間

  • 通常3回(形成→型取り→装着)
  • おおよそ1カ月(症状によって変動あり)

ラミネートベニアのメリット

  • 希望の色にすることができ、色の後戻りがないので、見た目は最も綺麗。
  • 歯の大きさや形を調整することができる。

ラミネートベニアのデメリット

  • 歯の形は変えれるが、歯の方向はほとんど変えられない。
  • ラミネートのシェルは薄く割れやすいので、強い力のかかる部位には使用できない(一般的に上の前歯のみ適応です)。
  • 保険適用外なので、値段が高い

硬質レジン前装冠

硬質レジン前装冠とは

  • 硬質レジン前装冠とは、中身は金属(金銀パラジウム合金など)で、外から見える部分だけレジン(プラスチック)が貼り付けられている被せ物(さし歯)です。
  • 保険で前歯の被せ物を作る場合は、硬質レジン前装冠になります。

硬質レジン前装冠の治療期間

  • 最短2回(型取り→装着)
  • おおよそ1カ月(症状によって変動あり)

硬質レジン前装冠のメリット

  • 保険適応なので安価。
  • 見える部分は白い(プラスチック)ので見た目が良い。
  • 中身が金属なので割れにくく、ほとんどの部位に使用できる。

硬質レジン前装冠のデメリット

  • 時間が経つとプラスチックの部分は変色するので見た目が悪くなる。
  • 裏側から金属が見える。
  • 時間が経つと金属が錆びて溶けだし、歯や歯茎の変色、金属アレルギーを引き起こすことがある。
  • 保険が適応されるの前歯と犬歯のみで、奥歯には適応されない。

神経をとった後、補強の意味で土台を立て、その上からクラウンを被せて補綴していきます。その土台をコアといいます。

メタルコア

メタルコアとは

  • 神経を抜いた歯に土台を入れる際、保険治療ではこのメタルコアが一般的に使用されます。

メタルコアの治療期間

  • 最短2回(型取り→装着)

メタルコアのメリット

  • ほとんどの症例で使用可能
  • 保険適応なので安価

メタルコアのデメリット

  • 硬すぎるため、金属のくさび効果により歯が割れてしまうことがある(歯が割れてしまった場合は、抜歯になる可能性が高いです)。
  • オールセラミックスクラウンを被せる場合は、このメタルコアの金属の色が透けて見えてしまうので向かない。
  • 歯茎から金属が透けて見えてしまうことがある。
  • 時間が経つと金属が錆びて溶けだし、歯や歯茎の変色、金属アレルギーを引き起こすことがある。
  • 長く太いメタルコアを入れていた場合には、再治療が困難(メタルコア除去時に歯が割れて、抜歯になってしまうこともあります)。

ファイバーコア

ファイバーコアとは

  • ファイバーコアとは、レジンコアの金属スクリューのかわりに、ファイバーのポストを入れることにより、従来のメタルコア・レジンコアより強度も増し、歯が割れる可能性も低くなるように開発された土台です。

ファイバーコアの治療期間

  • 最短1回

ファイバーコアのメリット

  • しなる性質があるので、歯が割れる可能性が低くなる。
  • 白いので、審美的に有利(特にオールセラミッククラウンを被せる場合)
  • 再治療が必要になった際、除去が比較的容易。
  • 金属を使用しないので、金属の溶け出しによる歯や歯茎の変色、金属アレルギーの可能性がない。

ファイバーコアのデメリット

  • 保険適用外なので、値段が高い。また、保険外のコアを使用した場合、クラウン(被せ物)にも保険適応ではなくなります。

PMTCとは?
-Professional Mechanical Tooth Cleaning

毎日きれいに磨いているつもりでも日常の歯磨きだけでは汚れを落としきることはできません。
患者さんだけではコントロールしきれない部分を、特別な訓練を受けた専門家が専用の器具を使用して清掃・研磨していきます。
これが虫歯や歯周病の予防に非常に効果的なクリーニングなのです。
歯周病治療を受けてきた方はもちろん、健康な歯と歯肉を維持していきたいと考えている方すべてに必要とされるお口の中のクリーニングです。

術前

術前

術後
術後

PMTCでしか清掃できないところ

歯と歯の間ご自身で鏡を見ながら磨いてもとれない歯垢や着色
ご自身ではなかなかうまく磨くことができない歯と歯肉の境目

PMTCで得られる効果

歯肉炎・歯周病の改善
虫歯の予防と共に汚れの再付着を防ぐ
審美性の向上(色素沈着を除去し、光沢のある歯牙表面を回復する)
歯質の強化(フッ素を用いることで再石灰化を促進し歯牙を強化する)

定期的*に行うことによって、98%の確率で歯周病や虫歯を防ぐことができます
*患者さんにより差がありますが、だいたい3~6ヶ月に一度

Contact

お問合せ

当院を初めて受診される方の予約ができます。
緊急の場合は、お電話にて承っております。
予約の際のコメントは、具体的に書いていただきますと、
カウンセリングがスムーズに行えます。どうぞよろしくお願いいたします。