歯周病

最近お口に変化はありませんか?

  • 歯茎に赤みの強いところがある
  • お口から嫌なニオイがする
  • 歯磨きをする時に血が出る
  • 歯茎がむず痒い、痛い
  • ぐらぐら揺れている歯がある
  • 硬いものが噛みづらくなった

1つでも当てはまる方は歯茎の病気かも歯医者さんでの検診を受けましょう!

歯茎の病気のおもな原因

  • 歯垢、歯石の沈着(日々の清掃不良)
  • 歯ぎしり、食いしばり
  • 被せ物、入れ歯の不適合
  • 不規則な食習慣
  • 喫煙
  • ストレス
  • 全身疾患(糖尿病、骨粗しょう症、ホルモン異常)
  • 薬の長期服用(降圧剤など)
歯周病

歯周炎に罹患したお口の中

歯周炎に罹患したお口の中
著しく吸収した骨

これって歯茎の病気かも・・・?

健康な歯茎

健康な歯茎
健康的な歯茎は、淡いピンク色(サーモンピンク)をしており、引き締まっています。

歯肉炎を起こした歯茎

歯肉炎を起こした歯茎
歯茎にのみ炎症が生じたもの
歯茎は赤みが強くなり、丸みを帯びて腫れ、歯磨きやかたいものを食べた際に出血しやすくなります。

歯肉炎を放っておくと・・・

歯肉炎

歯肉炎

軽度歯周炎

軽度歯周炎

中等度歯周炎

中等度歯周炎

重度歯周炎

重度歯周炎

歯肉炎と歯周炎

歯肉炎と歯周炎

プラークや歯石が原因で細菌が増えると歯茎に炎症が起こり、次第に歯肉が腫れてきます。

歯肉炎が進行すると、歯と歯茎の付着組織である歯根膜が破壊され、歯を支える歯槽骨が解け始めます。

歯茎の炎症だけにとどまったものを歯肉炎といい、歯を支える骨や歯根膜まで侵襲したものを歯周炎といいます。

溶けてしまった骨は元には戻りません。
 歯肉炎の段階であれば
 正しい歯磨きと歯石除去で治すことができます。
 早めの治療を受けることが大切です!

歯肉炎がさらに進行すると・・・

歯肉炎がさらに進行すると

歯槽骨の吸収により、葉がぐらぐら動きます。
吸収が進行すると歯は自然に抜けてしまいます。

歯根露出が進と歯が長くなったように見え、冷たいものや熱いものがしみるようになります。
歯石が歯周ポケットの深くに付着し歯茎が腫れ、膿が出てくると口臭が強くなります。

歯茎に不安を感じたら、
まずは歯医者さんで検診を受けましょう!

歯茎に不安を感じたら

歯科医院で行う歯茎の検査、歯肉炎・歯周炎の治療を歯周治療といいます。

歯周治療は検査・診断を経て、治療計画を立案し治療のステップごとに再度検査を重ねながら治療効果が得られているかを確認しながら治療を行っていきます。

歯周治療の進め方

1.検査、診断

問診

全身的な病気の経験やタバコや食べ物などの嗜好品、生活習慣やストレスなどはあるかなど、お話をしながら症状と関連する要因を考えます。

歯周組織検査①
歯周組織検査
歯周ポケットの深さ、骨の形、炎症状態(出血の有無等)歯石の付き具合、歯の動揺度(どのくらい揺れがあるか)などを調べます。
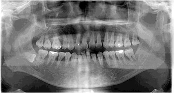
レントゲン撮影
噛み合わせの確認
歯ぎしり防止のためのマウスピース
噛み合わせにより一部の歯に不自然な強い力がかかったり歯ぎしりをすることで強い負担がかかり続けると、骨が溶け歯周ポケットを形成します。
(歯ぎしり防止のためのマウスピースは保険適応です)

☆検査結果をふまえ、治療計画を話し合っていきます。

2.歯周基本治療

スケーリング(歯垢、歯石除去)

歯の表面に付着した歯垢や歯石を専用の器具、機械を用いて除去します。
スケーリング後歯の表面を研磨することで、再度歯垢や歯石が付着するのを防ぎます。

スケーリング(歯垢、歯石除去)
歯磨き指導
歯磨き指導
歯周治療では歯科医院で行う治療だけでは治すことはできません!
ご自身での日々正しい歯磨き行うことで、治療の効果をさらに高めていくことができます。
歯磨き指導
当院では歯科衛生士がお口の状態に合った正しい歯磨き方法をお伝えします。また、歯磨きや歯間磨きなどの補助的清掃器具もお選びいたします。

3.歯周組織検査②

歯周基本治療を経て、治療により歯茎の状態が改善しているかどうか再度検査をします。

歯茎にまだ炎症があり、歯周ポケット内に歯垢、歯石を触知する場合は次の治療ステップへと向かいます。

4.歯周病初期治療

歯周病初期治療

歯周ポケット内の歯根にまで付着した歯垢や歯石、汚染されたセメント質などを、専用器具にて取り除きます。
器具の挿入時などに痛みを感じる場合には、局所麻酔下で処置を行います。

麻酔での負担や、治癒状況を確認しながら進めることを考え、少なくとも4回~6回に分けて処置を行っていきます。

5.歯周組織検査③(再評価)

歯周病初期治療を行い、改善がみられたかを確認するための検査を行います。
改善傾向にはあるものの、重度感染部位は部分的に出血が続いたり、ポケットからの膿の排出が続く場合があります。

arrow


その場合には再度治療計画の修正を行い、
場合によっては歯周外科的処置を行います。

6.歯周外科的処置とは

歯周ポケット深くや複雑な歯根面に付着し、物理的に取り除くことが難しい歯石や汚染物質を小手術により取り除くこと。
また、重度歯周炎により失われた歯槽骨を再生する治療のこと。

7.歯周組織検査④

歯周外科的処置を経ての経過確認のための検査

8.メンテナンス

歯周治療の終わりは完治完了はなく、治癒もしくは病状安定してからもメンテナンスに通い、日々の歯磨き状態や噛み合わせ、歯周組織(歯茎や歯槽骨など)に変化がないかを確認するため定期的な検診が必須です。

☆歯周病は感染症であり、歯周治療を終えてもコントロールができていなければ、容易に再発する恐ろしい病気です!
一度吸収した骨が再度炎症を起こし、吸収を始めれば歯はあっという間に抜けてしまいます。

歯周治療中に適したハ磨き選び

shisyu11

Contact

お問合せ

当院を初めて受診される方の予約ができます。
緊急の場合は、お電話にて承っております。
予約の際のコメントは、具体的に書いていただきますと、
カウンセリングがスムーズに行えます。どうぞよろしくお願いいたします。